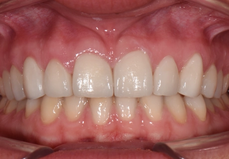
Facetten of Veneers
Facetten of veneers worden gebruikt voor kleine vorm- of kleur veranderingen in tanden aan te brengen.
Deze behandelingen zijn zeer populair bij personen die niet tevreden zijn met hun glimlach, kleine stukjes tanden afgechipt hebben of waarbij de tanden onvoldoende gelijk zijn.
Er zijn 2 mogelijkheden in materiaalkeuze nl. composiet of keramiek. Beiden hebben hun voor-en nadelen waarbij de tandarts jou naar de juiste keuze begeleid.
Hieronder vind je het initiële stappenplan hoe we tot een geindividualiseerd behandelplan komen.
Mondonderzoek
Alle esthetische behandelingen dienen uitgevoerd te worden in een gezonde mond. Dit wil zeggen dat we eerst nakijken of alle tandbederf behandeld is en alle tandvleesproblematiek aangepakt is.
Esthetische intake
Nadat alles in orde staat kunnen we overgaan tot het verzamelen van alle benodigde documentatie om een esthetisch geïndividualiseerd plan op te stellen. Dit houdt in dat er foto's zullen worden genomen, een digitale scan van jouw gebit alsook radiografiën waar nodig.
Digital smile design
Op basis van de genomen foto's starten we met het vervaardigen van een 2D computergestuurde tekening, al dan niet met hulp van AI. Hierop kunnen we alle richtlijnen geven aan het labo om de digitale scan om te vormen tot het uiteindelijke project
Wax up en mock-up
Het labo zal het ingescande digitale model omvormen tot de uiteindelijk gewenste vorm van tanden en glimlach is bereikt. In sommige gevallen kan dit gepast en overgebracht worden in de mond aan de hand van een mock-up.
Uiteidelijk: Smile transformation
in het geval van composietfacetten lukt dit vaak in een paar sessies, in het geval van keramische facetten hebben we vaak meerdere zittingen nodig. Hierbij proberen we steeds zo minimaal invasief mogelijk te zijn.
Composietfacetten
Het grote voordeel van composietfacetten bestaat uit zijn minimaal invasief karakter. In vele gevallen kunnen we zonder of door minimaal glazuur te verwijderen additief composiet aanbrengen om tot een mooi eindresultaat te komen. Bijkomende voordelen zijn dat deze vaak iets goedkoper uitvallen en in minder zittijden kunnen uitgevoerd worden.
Composietfacetten kennen echter ook meerdere nadelen. Deze kunnen namenlijk gaan verkleuren na een bepaalde termijn, zijn iets minder sterk en dienen dus vaker vervangen te worden.
Keramische facetten
Keramische facetten zijn op esthetisch vlak top notch. Het labo vervaardigd hier zorvuldig schildjes die op jouw tand(en) kunnen worden geplaatst. Hoe preciezer dit gebeurt hoe langer deze zullen meegaan. Studies tonen hier een lange levensduur aan met minder complicaties als verkleuren, stukjes die afbreken etc.
Nadeel hiervan is de kostprijs alsook de meerdere zittijden die nodig zijn om tot een mooi resultaat te komen.
F.A.Q. rond facetten / veneers
Is het plaatsen van facetten of veneers pijnlijk?
Tijdens het plaatsen van de facetten wordt lokale verdoving gebruikt om ongemak te minimaliseren. Na de procedure kunnen sommige mensen enige gevoeligheid ervaren, maar dit zou over het algemeen binnen enkele dagen moeten verdwijnen.
Hoe lang gaan tandheelkundige facetten mee?
Tandheelkundige facetten kunnen meerdere jaren mee gaan. Afhankelijk van het gebruikte materiaal zal je zien dat deze bij composiet iets sneller dient vervangen te worden wegens verkleuringen dan bij keramiek. Bij keramiek kijk je gemakkelijk naar een levensduur van 10 jaar. Dit is natuurlijk allemaal afhankelijk van de mondhygiëne.
Kan ik eten en drinken zoals gewoonlijk met tandheelkundige facetten?
Ja, u kunt normaal eten en drinken met tandheelkundige facetten, maar het wordt aanbevolen om voorzichtig te zijn met overmatige consumptie van sterk gekleurde voedingsmiddelen en dranken, omdat dit verkleuringen kan veroorzaken.
Zijn tandheelkundige facetten omkeerbaar?
Het proces van het plaatsen van tandheelkundige facetten vereist meestal het verwijderen van een kleine hoeveelheid tandglazuur, wat niet omkeerbaar is. Als de facetten worden verwijderd, kunnen uw tanden er anders uitzien dan voorheen.
Zijn tandheelkundige facetten geschikt voor iedereen?
Niet iedereen is een geschikte kandidaat voor tandheelkundige facetten. Uw tandarts zal uw mond beoordelen en u adviseren over de beste opties op basis van uw specifieke situatie.