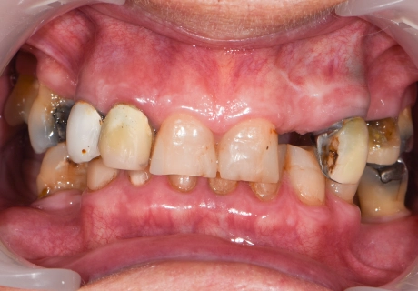
Kronen en bruggen
Deze tak binnen de tandheelkunde legt zich toe op het herstellen van zeer zwaar beschadigde tanden door middel van een kroon of het vervangen van verloren gegane tanden.
Kronen en bruggen kunnen dus zowel esthetisch als functioneel zijn. Door de invasieve aard van deze behandeling zal de tandarts steeds kijken of er geen mogelijkheden zijn naar minder ingrijpende behandelingen zoals keramische restauraties of facetten. Soms zijn we echter toch genoodzaakt deze techniek te gebruiken omwille van een afwijkende beet of esthetische verwachtingen.
Kroon
Een natuurlijke kroon is het gedeelte van de tand dat je zichtbaar boven het tandvlees ziet verschijnen. Hieronder bevindt zich nog je eigen tandwortel die ondersteund wordt door het tandbot.
De tandheelkundige kroon is een op maat gemaakt kunstmatig kapje dat over de beschadigde of verzwakte tand wordt geplaatst. Dit herstelt dan functie, vorm en esthetiek van de tand.
Indien het tandbederf zodanig vergevorderd is kan een kroon een optie zijn om deze tand opnieuw te gaan restaureren.
Hierbij zal het tandbederf verwijderd worden waarna de tand initieel eerst door wit vullingsmateriaal wordt voorbereid. Hierna zal de tandarts de tand rondom rond gaan omslijpen waarbij hij een stomp creëert waarop de kroon zal geplaatst worden.
Brug
Het concept van een brug is gebaseerd op de kroon. Hierbij zal er echter 1 of meerdere tanden ontbreken. De tanden die rondomheen de ontbrekende tand liggen zullen dan geprepareerd worden als een kroon. Dit is echter nog iets invasiever dan een kroon aangezien deze tanden parallel dienen geslepen te worden. Hierdoor zal een implantaat steeds onze voorkeur dragen en is de brug een concept dat enkel wordt toegepast indien er geen andere oplossingen zijn.
F.A.Q. rond kroon-en brugwerk
Waarom zou ik een tandheelkundige kroon nodig hebben?
Een kroon kan nodig zijn als een tand is beschadigd door tandbederf, een breuk heeft opgelopen of is verzwakt na een wortelkanaalbehandeling. Het helpt de tand te beschermen en voorkomt verdere schade.
In vele gevallen neigen we bij apex tandartsen de modernere vorm van de kroon namenlijk de keramische restauratie.
Welke materialen worden gebruikt voor kronen of bruggen?
Tandheelkundige kronen kunnen worden gemaakt van verschillende materialen, waaronder keramiek, zirconium, metaal ( minder gebruikt in de moderne tandheelkunde) of een combinatie. De keuze hangt af van esthetische voorkeuren en functionele behoeften.
Hoe lang gaan tandheelkundige kronen mee?
De levensduur van een tandheelkundige kroon varieert, maar met goede mondhygiëne en regelmatige tandartscontroles kunnen ze meestal 10-15 jaar meegaan.
Hoe wordt een een tandheelkundige kroon vervaardigd?
Het proces omvat doorgaans het slijpen van de bestaande tand om ruimte te maken voor de kroon, het nemen van afdrukken of het scannen van de tanden, het plaatsen van een tijdelijke kroon en uiteindelijk het aanbrengen van de definitieve kroon nadat deze in een tandtechnisch laboratorium is vervaardigd.
Doet het plaatsen van een tandheelkundige kroon pijn?
Het plaatsen van een tandheelkundige kroon zou over het algemeen geen pijn moeten veroorzaken, omdat lokale verdoving wordt gebruikt tijdens het proces. Na de procedure kunnen er enkele dagen milde ongemakken zijn.
Hoe moet ik voor mijn tandheelkundige kroon zorgen?
Goede mondhygiëne, regelmatig poetsen, flossen en bezoeken aan de tandarts zijn essentieel om de kroon en de onderliggende tand gezond te houden.
Kan ik eten en drinken met een tandheelkundige kroon?
Ja, na de genezingsperiode kunnen de meeste mensen normaal eten en drinken met een tandheelkundige kroon. Het vermijden van overmatig harde voedingsmiddelen wordt echter aanbevolen om schade te voorkomen.
Komt de verzekering tussen bij kroon-en brugwerk?
Vraag zeker na bij je zorgverzekering of de kosten voor een tandkroon gedekt zijn. Bij een aanvullende tandverzekering kan je vaak rekenen op een (gedeeltelijke) terugbetaling van de behandeling.