Parodontologie
Parodontologie is een specialisatie binnen de tandheelkunde die zich richt op preventie, diagnose en behandelen van tandvleesaandoeningen.
De tandarts en/of mondhygiënist zal altijd je tandvlees opmeten tijdens je (half)jaarlijkse controle. Op basis van deze screening kan de tandarts en/of mondhygiënist zien wat de conditie van je tandvlees is en je informeren of er verdere behandeling of doorverwijzing naar de parodontoloog nodig is ten behoeve van verbetering van de gezondheid van je tandvlees.
Gingivitis
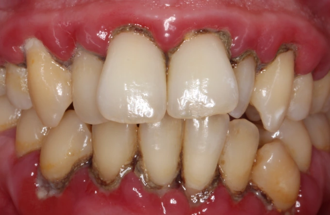
In de mondholte zijn verschillende soorten bacteriën aanwezig. Die bacteriën kunnen zich vastzetten op de tanden en een kleverig laagje vormen dat tandplaque wordt genoemd. Door zijn witte, gelige kleur is tandplaque meestal moeilijk zichtbaar. De tandplaque kan kalk opnemen uit het speeksel en zal dan verharden tot tandsteen. Als reactie op de aanwezigheid van tandplaque en tandsteen op de tanden ontstaat er een onsteking. Deze ontsteking die nog heel oppervlakkig aan de rand van het tandvlees zit, wordt gingivitis genoemd. Het onderliggende bot is hierbij niet aangetast. Door deze ontstekingsreactie zal het tandvlees wat roder worden, gaat het soms zwellen en kan het makkelijk bloeden bij aanraken.
Parodontitis
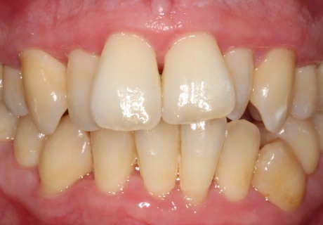
Als je gingivitis hebt en je doet er niets aan, dan kan de oppervlakkige ontsteking in de tandvleesrand verergeren en zich uitbreiden in de richting van het kaakbot. Het tandvlees zal verder loslaten van de tanden en de ontsteking verplaatst zich dan verder de diepte in waardoor uiteindelijk kaakbot zal worden afgebroken. Deze voortschrijdende ontsteking waarbij het kaakbot afbreekt, heet parodontitis. Indien parodontitis onbehandeld blijft kan er uiteindelijk zoveel kaakbot verloren gaan dat tanden alle steun verliezen, los komen te staan en uiteindelijk uitvallen. De behandeling is er dan ook op gericht om verdere schade en tandverlies te voorkomen. De schade die optreedt is onomkeerbaar: het kaakbot dat verloren is gegaan, komt niet meer terug. Daarom is een tijdige diagnose heel belangrijk.
F.A.Q. rond gingivitis en parodontitis
Hoe kunnen we gingivitis opsporen?
Het lastige van gingivitis is dat je het zelf niet altijd kunt constateren. Ontstoken tandvlees kan rood, slap en gezwollen zijn. Ook kan het gaan bloeden bij het poetsen of het eten. Maar dat hoeft niet zo te zijn. Deze verschijnselen zijn lang niet altijd aanwezig. Dus als je tandvlees niet gaat bloeden bij het poetsen of eten, wil dat nog niet zeggen dat het tandvlees gezond is. Bijvoorbeeld bij rokers treedt bloeding van het tandvlees minder gemakkelijk op zodat dit waarschuwingssignaal helaas vaak veel te laat komt. Daarom is een regelmatig bezoek aan de tandarts en/of mondhygiënist belangrijk: zij kunnen constateren of je last hebt van gingivitis of niet en zo voorkom je dat een eventueel aanwezige gingivitis verergert. De tandarts en/of mondhygiënist kan gingivitis opsporen met een zogeheten pocketsonde. Met de pocketsonde wordt voorzichtig de ruimte tussen tand en tandvlees (de pocket) opgemeten. Als de pocket dieper is geworden dan 3 mm of als bij het meten bloeding optreedt, is er sprake van gingivitis.
Hoe kunnen we gingivitis behandelen?
Een professionele gebitsreiniging is nodig om alle tandplaque en tandsteen te verwijderen. Dit kan meestal zonder verdoving. De tandarts en/of mondhygiënist zal samen met jou bekijken hoe je de tandplaque het beste kunt weghalen en zal je adviseren welk type tandenborstel en welke type hulpmiddel om te reinigen tussen de tanden voor jou het meest geschikt is. Wanneer je vervolgens na de reiniging zelf je gebit optimaal schoonhoudt op de juiste manier, zal de ontsteking binnen een aantal dagen verdwijnen. Het tandvlees zal weer strakker om je tanden gaan liggen, de pockets worden weer ondieper dan 3 mm en het bloeden zal stoppen. Met een blijvende goede mondhygiëne, kun je voorkomen dat er opnieuw gingivitis onstaat.
Hoe kunnen we parodontitis opsporen?
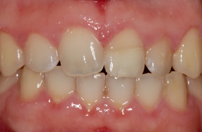
Parodontitis geeft meestal weinig klachten en pijn komt zelden voor, waardoor het lang onopgemerkt kan blijven. Bij parodontitis kan het tandvlees rood, slap en gezwollen zijn en gaan bloeden bij het poetsen of bij het eten. Het tandvlees kan na verloop van tijd gaan terugtrekken. Het proces wordt daarom in de volksmond ook wel eens 'uitgroei' van tanden genoemd. Ook een vieze smaak of een slechte adem kunnen duiden op parodontitis. Door het terugtrekken van het tandvlees, komt een deel van de tandwortel bloot te liggen waardoor de tanden gevoeliger kunnen worden voor koude en warmte. Maar dus vaak zijn al deze verschijnselen afwezig; zeker bij een beginnende parodontitis. Ook hier is het dus belangrijk om regelmatig je gebit te laten controleren door je tandarts en/of mondhygiënist. Net zoals bij gingivitis, zal met een pocketsonde voorzichtig de ruimte tussen tand en tandvlees (de pocket) opgemeten worden.
Pas in een gevorderd stadium van parodontitis kunnen er echt klachten ontstaan. Soms gaan tanden losser staan en kunnen ze hierdoor gevoeliger worden bij bijten. Door het verlies van steun, kunnen tanden zich soms spontaan gaan verplaatsen en spleetjes vormen die er vroeger niet waren. In extreme situaties, kan een parodontaal abces optreden.
Hoe kunnen we parodontitis behandelen?
De tandarts en/of mondhygiënist controleert de dieptes van de pockets tijdens je jaarlijkse of halfjaarlijkse controle. Wanneer parodontitis wordt vastgesteld, zal u worden doorverwezen naar de parodontoloog voor aanvullend onderzoek. Dit aanvullende onderzoek houdt in dat er een parodontiumstatus wordt gemaakt. Een parodontiumstatus is een uitgebreide meting van de conditie van je tandvlees. Deze klinische metingen worden aangevuld met het nemen van röntgenfoto’s, zodat er kan worden bekeken óf, en zo ja, hoeveel kaakbot er is afgebroken rond de tanden ten gevolge van de ontsteking van het tandvlees. Zo kan de parodontoloog een duidelijk beeld schetsen over de toestand van het tandvlees en een behandelplan opstellen met een duidelijke kostenraming. De parodontoloog zal u uitgebreid informeren over deze behandelingen.
Wat verhoogt het risico op parodontitis?
Bij een goed evenwicht tussen tandplaque en onze afweer, zal het tandvlees gezond blijven. Wordt dit evenwicht verstoord, dan zal parodontitis tot ontwikkeling komen.
Wat zijn de risicofactoren die het evenwicht kunnen verstoren?
- een slechte mondhygiëne: dit leidt tot een teveel aan plaque en/of een ongunstige samenstelling van de plaque (met veel ziekteverwekkende bacteriën)
- een minder goede afweer
Onze afweer wordt vooral erfelijk bepaald: men wordt al dan niet ‘gevoelig voor parodontitis’ geboren. Sommige mensen zijn zelfs supergevoelig voor de ontwikkeling van parodontitis omdat zij een zwakke afweer hebben tegen bepaalde bacteriën in de mond. Zij kunnen al op zeer jonge leeftijd een ernstige agressieve vorm van parodontitis ontwikkelen die moeilijk te stabiliseren is.
Onze afweer kan ook verder verzwakt zijn door andere factoren:
- roken: rokers hebben 3 tot 7 keer meer risico op het ontwikkelen van parodontitis. Enerzijds zijn er door het roken agressievere soorten bacteriën in de mond aanwezig. Anderzijds zorgt het roken voor een slechtere doorbloeding en verlamming van afweercellen waardoor de afweerreactie verzwakt is. Daarnaast zal het tandvlees minder goed herstellen bij rokers en zijn ze sneller geneigd om te hervallen. Stoppen met roken is dus een belangrijke factor in de strijd tegen parodontitis.
- stress: stress zorgt voor een mindere afweer en daardoor neemt de kans op parodontitis toe. Bovendien vinden mensen die een stressvol leven leiden minder snel tijd voor een goede mondhygiëne en roken ze vaak meer.
- diabetes: uit onderzoek blijkt dat diabetespatiënten tot 50% meer botafbraak vertonen en dat het parodontium er slechter aan toe is naarmate patiënten langer aan diabetes lijden. Omgekeerd zal het ook veel moeilijker zijn de bloedglucosewaarden van diabetici onder controle te houden wanneer ze parodontitis hebben.
- medicatie: bijvoorbeeld medicijnen die de algemene afweer verzwakken of die de productie van speeksel verminderen
- zwangerschap: door hormonale veranderingen tijdens de zwangerschap wordt men meer vatbaar voor gingivitis en parodontitis. Dat wordt ook zwangerschapsgingivitis genoemd. Extra aandacht voor een goede mondhygiëne volstaat meestal om de ontsteking te verhelpen. Waren er voor de zwangerschap al parodontale problemen, dan kunnen die plots verergeren en acuut worden tijdens de zwangerschap. In dat geval is behandeling noodzakelijk. Uit onderzoek blijkt dat vrouwen met parodontitis 2 tot 7 keer meer kans hebben op een vroeggeboorte of een kindje met een lager geboortegewicht. Vrouwen met een kinderwens kunnen het best preventief hun tandvlees laten nakijken. Wanneer parodontitis alsnog wordt vastgesteld tijdens de zwangerschap kan behandeling de bovenvermelde risico's alsnog beperken.
Wat is de impact van parodontitis op de algemene gezondheid?
Een gezonde mond is onontbeerlijk voor een gezond lichaam. Bij mensen die lijden aan parodontitis, worden vrijwel altijd bacteriën uit de mond teruggevonden in de bloedbaan (bacteriëmie). Die verhogen het risico op tal van aandoeningen:
- Hartaanval (factor 1.7 tot 2.9 keer)
- Beroerte of cerebrovasculair accident (factor 2.1 - 2.8)
- Infecties van de luchtwegen
- Vroeggeboorte en laag geboortegewicht (factor 3 - 4.5)
- Slecht gereguleerde diabetes